
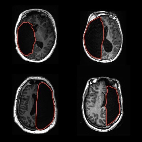
上一行图:切除左半球。下一行图:切除右半球。图片来源:物理学家组织网
科技日报实习记者 张佳欣
一项关于大脑可塑性和视觉感知的研究发现,儿时接受过切除一半大脑手术的人,80%以上的时间都能准确识别出两个单词或两张脸之间的差异。考虑到切除的脑组织的体积,这一准确性突显了大脑重新连接自身并适应剧烈性手术或创伤的能力及其局限性。
美国匹兹堡大学研究人员近日在《美国国家科学院院刊》刊发的这一发现,是有史以来第一次尝试描述人类的神经可塑性,并了解单个大脑半球是否可执行通常由大脑两侧分开执行的功能。
神经可塑性是一个过程,它允许大脑改变其活动,并在结构或功能上重新连接自己,以应对环境的变化。尽管大脑的可塑性在发育早期达到顶峰,但大脑在成年后仍会继续发生变化。
随着年龄的增长,大脑的两个半球变得越来越专门化,两个半球承担着不同的职责。但神经可塑性是有局限性的,随着时间的推移,这种半球偏好会变得更加僵化。
当大脑在高度可塑性的情况下被迫改变和适应时,会发生什么呢?为了回答这个问题,研究人员观察了一组特殊的患者,他们在童年时期接受了手术切除一侧大脑半球以控制癫痫发作。
研究人员分别测试了参与者识别两个单词和两张人脸的能力。结果发现,剩下的大脑半球支持这两种功能。大脑半球切除者和对照受试者的单词和人脸识别能力不 同,但差异不到10%,平均准确率超过80%。无论切除哪个大脑半球,参与者在面部和单词识别上的准确率都是相当的。
“令人欣慰的是,失去一半大脑并不等同于失去一半功能。”研究第一作者迈克尔·格拉诺维特博士说,这增加了人们对手术后大脑神经可塑性的了解。
研究人员称,“通过对大脑半球切除患者的研究,可以了解单个大脑半球的功能容量上限。有了这项研究结果,我们现在可涉足人类神经可塑性的大门,开始检测大脑重组的能力了”。
