
图片来源:pixabay
炣燃科技5月20日综合环球科学(撰文 | 石云雷)基因是影响身高的主要因素,但这样的影响出自多个基因复杂的共同作用,单个基因对身高的影响往往十分有限。在一项发表于《自然》的论文中,研究人员从最矮的人群之一——秘鲁人体内,找到了一个对身高影响深远的基因变体。携带一个基因变体时,身高平均会下降2.2厘米;一对等位基因均突变时,对身高的影响更会叠加至4.4厘米。研究人员表示,这是已知的对身高影响最为显著的基因。
基因对身高的影响
从幼年到青春期,人类的身高会发生明显的变化。一个常常被提及的问题是:“对于我们的身高,基因和环境的影响各占多大的比例?”根据一系列对双胞胎身高的研究,科学家发现,遗传因素是身高的主要决定因素,对身高的影响约为60%~80%;剩下的20%~40%则归结于环境因素尤其是营养条件。
此前,一项涵盖超过18万人的全基因组关联研究(GWA)发现,在至少180个基因位点上中,存在与成人身高相关的数百种基因变异。2014年,一项发表于《自然-遗传学》的研究将研究人数扩大到超过25万人后,发现在423个基因位点上,存在697个和身高相关的突变。一些基因变体通过影响腿、脊柱或是头的长度,对人体身高造成影响;还有一些基因能在整体上影响身高。不过,其中大部分基因对个体的身高影响并不明显,通常只有1毫米左右。
为了进一步了解基因对身高的影响,哈佛医学院等多个研究机构组成的团队将焦点集中于世界上最矮人群之一——秘鲁人。秘鲁男性的平均身高为1.65米,而女性的平均身高是1.53米。与平均身高最高的美国人和荷兰人相比,秘鲁人平均要矮10~15厘米。在一项发表于《自然》的最新研究中,这些研究人员在秘鲁人身上发现了迄今为止对身高影响最大的一个基因变体。

一个基因变体,矮2.2厘米
秘鲁人的基因组成主要来自于当地的美洲土著居民,以及在16世纪后逐渐到来秘鲁的欧洲人、非洲人和亚洲人。现在的研究发现,土著居民、欧洲人和非洲人的基因在秘鲁人基因组中的占比,分别为80%、16%和3%。研究人员推测,一个在土著居民中普遍存在的基因变体,是影响秘鲁人身高的重要因素。
为了确定影响秘鲁人身高的因素,研究人员在秘鲁首都利马收集了来自1947个家庭的3134人的身高和基因组数据。他们首先通过一个全基因组关联分析(GWAS),发现在FBN1基因上,存在一个和身高相关的错义突变——E1297G。
基因变体E1297G是由FBN1基因的31号外显子上的碱基突变形成的。这一碱基由胸腺嘧啶(T)突变为胞嘧啶(C),使得表达的蛋白质中的谷氨酸(Glu)被甘氨酸(Gly)替换。研究发现,在染色体上,如果存在一个E1297G等位基因,就可能导致身高降低2.2厘米。当2个等位基因均为E1297G,会产生叠加效果,也就是比不含这一基因变体的人平均要矮4.4厘米。
在此前发现的和身高相关的基因中,99%的基因变体对身高的影响均低于0.5厘米。研究人员认为,他们或许找到了迄今为止对身高影响最为显著的基因。在秘鲁人中,这一基因变体出现的频率为4.12%;而在同样含有美洲土著基因的墨西哥人(男性平均身高约1.71米)体内,E1297G出现的频率0.78%。有趣的是,欧洲人体内不存在这一基因变体。
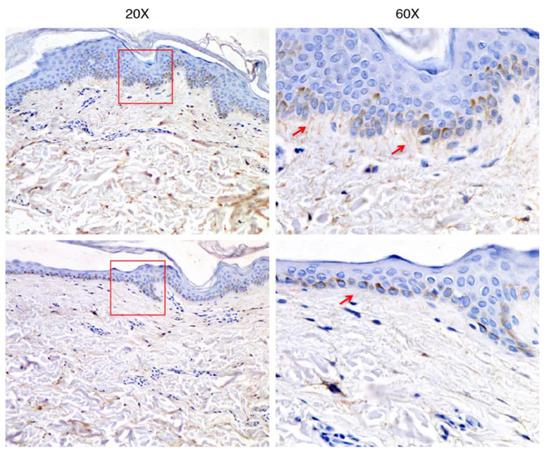
由FBN1基因表达的肌原纤维蛋白-1(Fibrillin 1)是一种细胞外基质糖蛋白,在组织中能为弹性蛋白提供微纤维结构支架。研究发现,携带2个基因变体E1297G的人皮肤更厚,且比正常年龄看起来更老。他们皮肤中的微原纤维数量减少,微原纤维的密度也更低,并且会出现异常的结构。由于微原纤维能为弹性蛋白提供支架,这一支架结构的异常,或会导致体内的弹性蛋白堆积减少。
对于这一基因变体影响身高的机制,科学家目前还没有找到明确的答案。但此前有关FBN1基因突变的研究,或许能给出线索。
此前的研究发现,FBN1基因出现其他突变时,会导致骨骼异常和皮肤弹性变化。其中,由FBN1基因中的钙结合表皮生长因子(cbEGF)结构域的突变,会导致一种少见的先天性遗传性结缔组织疾病——马方综合征(Marfan syndrome)。这一突变的携带者体型高瘦,拥有更长的手臂和腿,但存在严重的关节弯曲和脊柱侧弯,而这可能会导致他们的心脏和主动脉出现异常。
文章第一作者Samira Asgari说,“这项研究给出的一个重要观点是,同一基因的不同变异,如何产生截然不同的影响。在此之前,如果你问遗传学家这个基因的变异会导致什么,他们可能会说,‘它会导致疾病。’”

基因变体E1297G携带者皮肤中微原纤维堆积的密度更小,且出现了异常结构。
基因变体被保留的原因
一些研究发现,一些生活在特定环境中的人群中,存在一些影响身高的基因突变。例如,一项对撒丁岛居民的研究发现,编码电压门控性钾离子通道的基因KCNQ1上的一个基因突变,使得他们的平均身高减少了1.8厘米。而另一项研究发现,在格陵兰岛的因纽特人中,存在一个和脂肪代谢相关的基因FADS3一个基因变体,使他们的身高减少了1.9厘米。参加这些研究的科学家认为,为了适应特定的环境和饮食,这些地区的人群保留了这些影响身高的基因突变。
与之类似,秘鲁人携带的基因变体E1297G,或也与他们生活的环境有关。当研究人员分析了150位来自秘鲁沿海、亚马孙森林地区和安第斯山脉地区的秘鲁人,发现这一基因变体在沿海地区的秘鲁人中存在的概率更高。其中,秘鲁北海岸的莫切人含有基因变体E1297G的概率更高,他们的平均身高(男性平均身高为1.58米,女性为1.47米)也比秘鲁人的平均身高更低。
研究人员猜测,这一基因变体或引发与FBN1基因相关的其他改变,如改变秘鲁人的心血管系统,为他们在沿海环境中的生存提供了更大的优势。但在获得进一步的结果之前,这一些还只是猜测。不可否认的是,基因变体E1297G在演化过程中被挑选和保留下来,应该存在一些适应环境的优势。
